슬개골 골절(슬개골 골절) 스포츠재활센터로 가는 최선의 선택은?
![]()
안녕하세요, 1:1 현장 재활 서비스를 제공하는 연세재활스포츠센터입니다. 현재 서울 및 수도권을 비롯한 전국적으로 방문 방문 서비스를 실시하고 있으니 부담 없이 문의해 주시기 바랍니다. (골절) 상담재택재활은 처음부터 문의해 왔던 부분인데 오늘 알아보도록 하겠습니다.
![]()
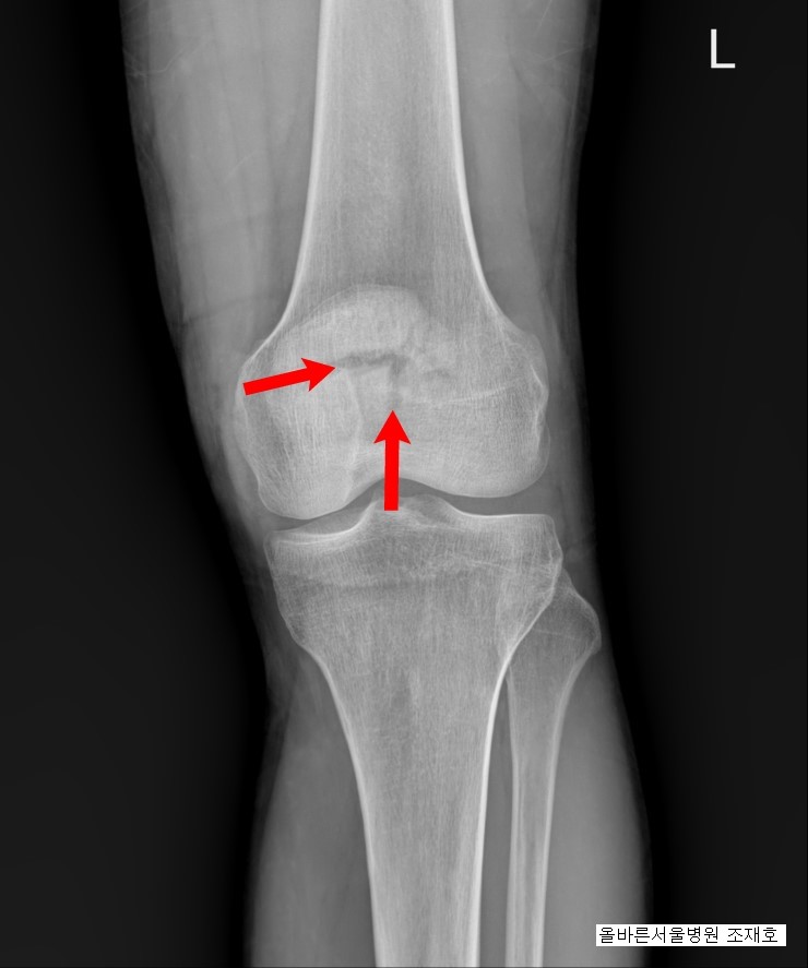
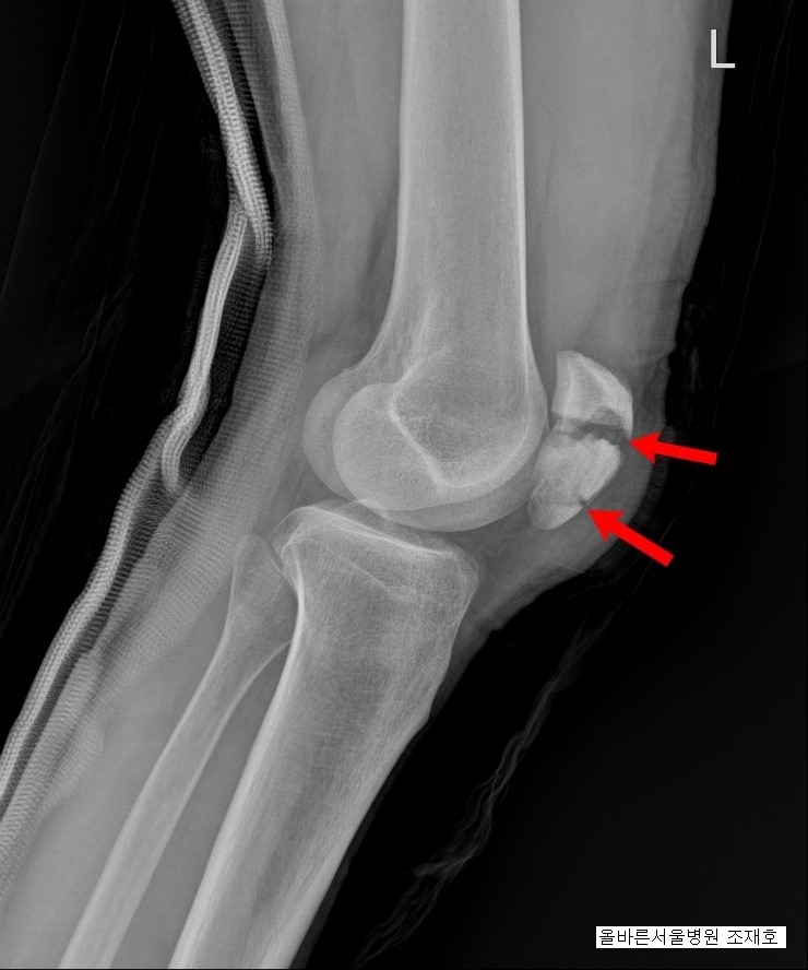
1) 슬개골 골절(슬개골 골절)이란?

슬개골의 구조는 단순하지 않습니다. 대퇴사두근이라는 큰 근육이 붙어 있기 때문에 슬개골에 문제가 생기면 안정적으로 걸을 수 없게 되고 각종 질환에 걸릴 수 있으며 나중에 수술을 하더라도 후유증이 생기기 마련이다. . 그 증상은 다양하지만 대표적인 것이 운동범위의 제한과 통증이며, 골절 시 주사나 석고주사 등은 보행 장애를 유발할 수 있어 고령일수록 이런 현상이 발생하기 쉽다. 골절의 증상이 나타난 후에는 물리치료와 도수치료를 통한 관리가 필요합니다.

2) 슬개골 골절 후유증(슬개골 골절)
![]()
수술 후 혈전이 뇌혈관을 이탈시켜 막을 수 있는데 이는 불가피한 부작용은 아니지만 일단 발생하면 뇌경색의 위험이 있기 때문에 운동은 혈전 예방을 위해 필요한 조치이다. 이 운동을 하는 방법은 매우 간단합니다. 누워서 발목을 위아래로 흔들기만 하면 됩니다. 또한 깁스의 수명으로 인해 장시간 누워있으면 근육손실이 가속화되기 때문에 근력을 유지하기 위한 운동이 필요합니다. 조심하고 일어나서 천천히 움직이는 습관을 기르십시오.
앞서 언급한 바와 같이 무릎 골절(슬개골 골절)의 재활에는 도수치료가 매우 중요하며, 가동범위의 제한을 완화할 수 있는 관절 운동을 시작해야 합니다. 정기적인 대퇴사두근과 햄스트링 마사지, 스트레칭 운동이 필요하며, 일반적으로 어떤 운동을 어떤 단계에서 해야할지 결정하기 어려울 수 있습니다.재활스포츠센터에서는 슬개골 골절(슬개골 골절)을 방문하여 재활을 할 수 있습니다.
![]()
첫 방문, 전문가의 평가 후, 상세한 분석, 1:1 맞춤 플랜 설계. 걱정할 필요가 없습니다. 담당 교사가 필요한 도구를 관리할 것입니다. 이 센터는 재활 기술에 관심을 갖는 만큼 환자에게도 관심을 기울입니다. 자세한 사항은 문의 또는 검색창에 연세비지트재활원으로 검색해주세요.

연세대학교 재활스포츠센터 강남파라다이스 본사 방문 서울특별시 강남구 봉은사로 170 산정상 761호 도착